Loading...
Loading...
Loading...

frontdesk@migradent.com

+91 95943 69752

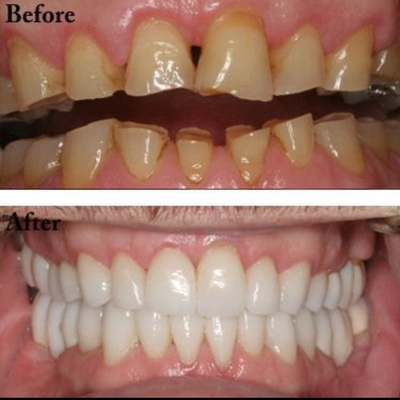
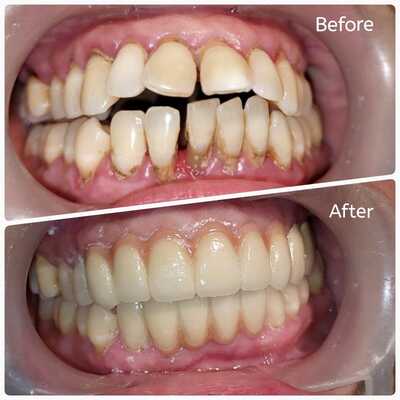
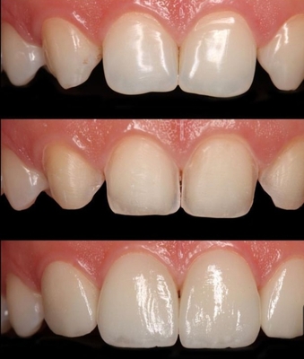
Full Mouth Rehabilitation

Full mouth rehabilitation involves restoring and optimizing the function, aesthetics, and health of the entire mouth. It is a comprehensive approach that addresses multiple dental issues, including damaged or missing teeth, gum disease, occlusal problems, and bite alignment, for a complete and functional oral restoration.

1.what is full mouth rehabilitation?

2.Full Mouth Rehab: Fix Your Smile & Bite!

3.Full Mouth Rehab = Confidence & Smile

4.Enjoy Retirement with a Confident Smile!

Full mouth rehabilitation is important to improve overall oral health, restore proper function, enhance aesthetics, and address complex dental issues. It can significantly impact a person's ability to chew, speak, and smile confidently, thereby improving their quality of life and overall well-being.

Full mouth rehabilitation requires a comprehensive evaluation to assess the individual's dental condition, including teeth, gums, bite, and occlusion. Based on the evaluation, a customized treatment plan is created, which may involve a combination of restorative procedures such as dental implants, crowns, bridges, and periodontal therapies.

If you have multiple dental issues, such as extensive tooth decay, missing teeth, gum disease, bite problems, or severely worn teeth, you should consider a consultation for full mouth rehabilitation. Early intervention can help prevent further complications and ensure timely restoration for improved oral health and function.

Busted: Full mouth rehabilitation is not limited to only severe cases. It can be beneficial for individuals with multiple dental issues, even if they are minor. Full mouth rehabilitation offers a comprehensive and long-term solution to address various dental problems, ensuring optimal oral health, aesthetics, and functionality.

Busted: While some cases may require multiple treatment sessions, full mouth rehabilitation does not necessarily mean multiple surgeries. The treatment plan is tailored to the individual's needs, and the procedures can be strategically planned to minimize discomfort and achieve the desired results efficiently.

Dr. Sarrah Husain at MIGRADENT specializes in full mouth rehabilitation, offering personalized treatment plans for comprehensive restoration and oral health improvement. With a patient-centered approach, she combines functionality with aesthetics to provide a healthy and beautiful smile transformation for her patients.

© 2024 Migradent | All Rights Reserved.