Loading...
Loading...
Loading...

frontdesk@migradent.com

+91 95943 69752

Laser Teeth Whitening

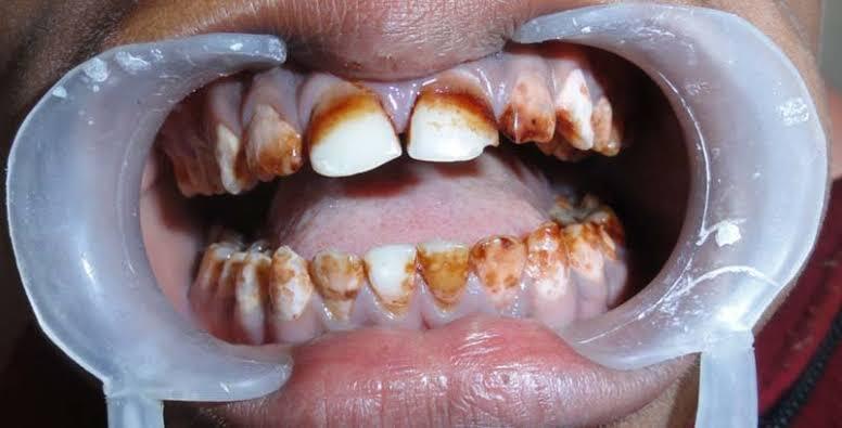
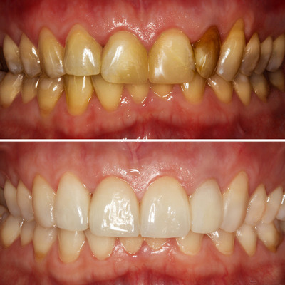
Laser teeth whitening is a cosmetic dental procedure that uses laser technology in conjunction with a whitening gel to remove stains and discoloration from teeth. It is a safe and effective method that can significantly brighten and whiten the teeth, resulting in a more vibrant smile.

Laser teeth whitening is popular because it offers quick and noticeable results compared to traditional whitening methods. The laser enhances the whitening gel's effectiveness, allowing for more efficient stain removal and providing patients with a whiter and brighter smile in a shorter treatment time.

Laser teeth whitening involves the application of a professional-grade whitening gel to the teeth. The laser is then used to activate the gel, which accelerates the whitening process. Protective measures are taken to safeguard the gums and surrounding tissues. The procedure is typically completed in a single visit to the dental office.

Laser teeth whitening is a suitable option for individuals who desire a whiter and brighter smile. Whether you have teeth stains due to aging, dietary habits, or other factors, laser teeth whitening can effectively remove discoloration and provide noticeable results, boosting your confidence in your smile's appearance.

Busted: Laser teeth whitening, when performed by a trained dental professional, is a safe procedure that does not damage tooth enamel. The laser's controlled energy is focused on the teeth, activating the whitening gel to remove stains and discoloration without harming the enamel or other tooth structures.

Busted: The longevity of laser teeth whitening results depends on individual factors such as oral hygiene habits, dietary choices, and lifestyle. With proper care and maintenance, including regular dental visits and good oral hygiene practices, the results of laser teeth whitening can be long-lasting and provide a lasting white smile.

Dr. Sarrah Husain at MIGRADENT specializes in safe and efficient laser teeth whitening treatments. Utilizing advanced laser technology and protective measures, she ensures a comfortable and effective teeth whitening experience, providing patients with noticeable and long-lasting results for a whiter and brighter smile.

© 2024 Migradent | All Rights Reserved.