Loading...
Loading...
Loading...

frontdesk@migradent.com

+91 95943 69752

Veneers & Laminates

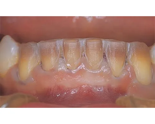
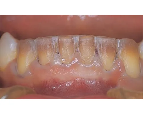
Veneers and laminates are thin, custom-made shells made of porcelain or composite resin that are bonded to the front surface of teeth. They are designed to enhance the appearance of teeth by improving their color, shape, size, or overall aesthetics, resulting in a more attractive and confident smile.

Veneers and laminates offer numerous benefits, including the ability to correct dental imperfections such as discoloration, chipped or misaligned teeth, gaps between teeth, and worn enamel. They provide a durable and natural-looking solution that enhances the aesthetics of the smile and boosts self-confidence.

The placement of veneers and laminates typically involves multiple steps. It begins with a thorough examination and consultation to discuss the patient's goals. The teeth are then prepared by removing a small amount of enamel, and impressions are taken to create customized veneers or laminates. Finally, the veneers or laminates are bonded to the teeth using a dental adhesive.

Veneers and laminates are suitable options for individuals who wish to enhance the appearance of their teeth due to cosmetic concerns like discoloration, chips, misalignment, or gaps. Considering veneers and laminates is a personal choice, and a consultation with a dental professional can help determine if they are the right solution for you.

Busted: Veneers do not damage natural teeth when performed by a skilled dentist. In fact, during the preparation process, a minimal amount of enamel is removed to ensure a proper fit. Veneers are designed to improve the appearance of teeth while preserving their natural structure and integrity.

Busted: While some tooth preparation is necessary to ensure proper fit and alignment of veneers, it is often minimal. Advances in dental technology allow for conservative approaches that preserve as much natural tooth structure as possible. Skilled dentists take into account individual needs to create customized veneers that require minimal tooth preparation.

Dr. Sarrah Husain at MIGRADENT specializes in creating natural-looking veneers and laminates for a beautiful smile transformation. With a focus on preserving natural tooth structure and minimal preparation, she crafts customized veneers and laminates that enhance smiles while maintaining optimal dental health.

© 2024 Migradent | All Rights Reserved.