Loading...
Loading...
Loading...

frontdesk@migradent.com

+91 95943 69752

Orthodontics & Aligners

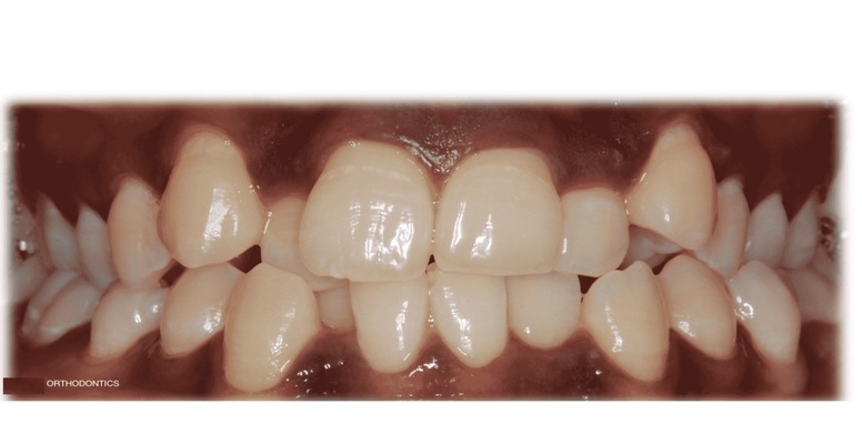
Orthodontics is a branch of dentistry that focuses on the diagnosis, prevention, and treatment of dental and facial irregularities. It primarily deals with the alignment of teeth and jaws to improve bite function, aesthetics, and overall oral health. Orthodontic treatments often involve the use of braces, aligners, or other appliances to straighten teeth and correct bite issues.

Orthodontics is important because it addresses dental misalignments, bite problems, and jaw irregularities that can lead to functional and aesthetic issues. Straightening teeth and aligning the jaws can improve bite function, enhance oral hygiene, reduce the risk of dental problems, and boost self-confidence by providing a more appealing smile. Orthodontic treatment contributes to overall oral health and well-being.

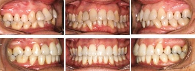
At MIGRADENT, we specialize in non-extraction correction, which means we focus on providing orthodontic treatment without the need for tooth extraction in most cases. By utilizing advanced techniques, personalized treatment plans, and the latest aligner systems, we strive to achieve optimal results with a conservative approach, preserving natural teeth and maximizing overall oral health.

Orthodontic treatment should be considered when individuals have dental misalignments, crooked teeth, bite issues, or jaw irregularities. While many orthodontic treatments are performed during adolescence, it is never too late to seek orthodontic evaluation and treatment. Early intervention can address problems more effectively, but orthodontic treatment can be beneficial for individuals of all ages.

Busted: Orthodontic treatment is not limited to children and teenagers. Many adults also undergo orthodontic treatment to improve their dental alignment, correct bite issues, and enhance their smile. Advancements in orthodontics have made treatments more discreet and convenient, catering to the needs and preferences of patients of all ages.

Busted: The duration of orthodontic treatment varies depending on individual cases, treatment complexity, and the chosen method (braces, aligners, etc.). While some cases may require longer treatment periods, advancements in orthodontics have made it possible to achieve desired results within a shorter timeframe for many patients. Modern treatments can provide efficient and effective tooth movement.

Dr. Sarrah Husain at MIGRADENT specializes in orthodontics and aligner treatments, emphasizing non-extraction correction whenever possible. With a focus on personalized treatment plans and utilizing the latest techniques and technology, she ensures efficient and effective orthodontic treatment for patients of all ages, helping them achieve a straighter and healthier smile with maximum comfort and convenience.

© 2024 Migradent | All Rights Reserved.