Loading...
Loading...
Loading...

frontdesk@migradent.com

+91 95943 69752

Migraine & TMJ

What is Migraine?

a. Globally, migraine affects around 1 Billion People making it a significant public health issue.

b. Migraine is known to be a Neurological Disorder characterized by recurrent, moderate to severe Throbbing Headaches, often accompanied by symptoms such as Nausea, Vomiting and Sensitivity to Light and Sound.

c. Neuromuscular conditions, such as Temporomandibular Joint Disorder (TMD), can cause migraines due to their impact on the Trigeminal Nerve, which is closely linked to Headache Mechanisms.

d. Attacks can last from Four Hours to Three Days and may include phases like Aura and Postdrome, affecting overall functioning during episodes.

Click links below :

 Babu Bhai Ko Migraine Ho Gaya   Migraine ka asli karan sirf Brain nahi   kya Migraine ap ki life ko control kar rahe hai?   Headache or Migraine? 

PK Ko Migraine Ho Gaya   Migraine ko say bye bye,instant home tips   Migraine Stages And Solutions   Migraine aur TMJ दर्द के घरेलू नुस्खे

Stimulate your VAGUS nerve naturally   At Migradent We Cure For Sure   Migraine Diagnosis

What is  Temporomandibular Joints (TMJ)?

a. The TMJ is a sliding "ball and socket"  Joint located in front of each ear , where the upper & lower jaws meet. Its the joint that works when the mouth is opened and closed together.

b. The ball-shaped condyle on the lower jaw glides along the socket in the skull base when you open your mouth, and slides back when you close your mouth.

c. Inside the TM joint is a disc that provides a cushion between the upper and lower jaw when it is opened and closed.

d. Connective tissue (Retrodiscal tissue) containing blood vessels and nerves attach the disc to the joint.

e. Muscles attached to the jawbone control movement and position. and work together to open and close the mouth.

f. Ligaments hold and stabilize the joint.

g. Bite is usually stable when the muscles and joints properly work together.

What is the connection between migraine and TMJ disorders?

a. Migraines and TMJ disorders are interconnected through the trigeminal nerve, which innervates both the jaw and facial regions, leading to shared pain pathways.

b. Individuals with TMJ disorders often experience increased migraine frequency and severity due to muscle tension and imbalance affecting the jaw.

c. Conversely, TMJ symptoms can exacerbate migraines, creating a bidirectional relationship where each condition can influence the other.

Why is it important to address migraines and TMJ disorder?

a. Addressing Migraines and TMJ disorders is crucial due to their interconnected nature, where each condition can exacerbate the other. 

b. Effective treatment of TMJ can significantly reduce the frequency and severity of Migraines, enhancing overall quality of life by Reduce pain and discomfort associated with both conditions. 

c. Furthermore, managing these disorders can lead to improved mental health by reducing anxiety and depression often linked to chronic pain.

How are migraines and TMJ disorders diagnosed?

a. Migraines and TMJ disorders are diagnosed primarily through a detailed medical history and physical examination

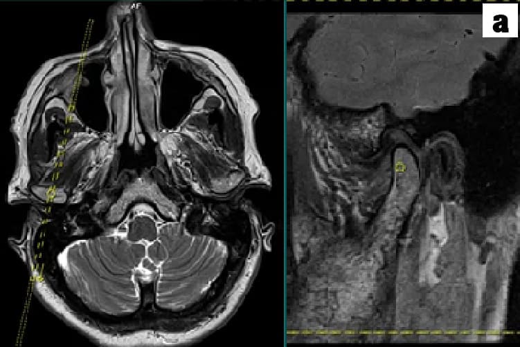
b. For migraines, criteria from the International Classification of Headache Disorders are used, while TMJ disorders involve assessing jaw movement, tenderness and potential imaging like X-rays, MRIs or OPG to evaluate joint structure.

c. Both conditions may require ruling out other causes of pain to confirm the diagnosis. check our MigraineTracker.
 

When should is seek evaluation for Migraines and TMJ disorder?

a. You should seek evaluation for migraines and TMJ disorders if you experience frequent or severe headaches accompanied by jaw pain, clicking or limited jaw movement.

b. Additionally, if you notice symptoms such as neck pain, ear ringing or difficulty chewing, it’s important to consult a Migraine and TMJ specialist

c. Prompt evaluation can help prevent chronic issues and improve your quality of life.

What happens if Migraine is not treated?
a. If migraines are left untreated, they can lead to serious complications, including an increased risk of stroke and chronic pain conditions, OSA, RA, Alzheimer,  Parkinson’s disease.

b. Additionally, untreated migraines may evolve into chronic daily headaches, significantly impacting quality of life and mental health. 

c. Over time, individuals may also experience heightened sensitivity to pain and more frequent migraine attacks lead to brain damage.
 

Myth: migraines are just severe headaches!

a. The myth that migraines are just severe headaches overlooks the complex nature of migraines as a Neurological & Neuromuscular disorder.

b. Imagine experiencing a throbbing, pulsating pain on one side of your head, so intense that it feels like someone is driving a nail into your skull. A pain so severe that even the slightest trigger can make it unbearable.

 c. This distinction is crucial for effective diagnosis and treatment, as migraines can significantly disrupt daily life beyond just head pain.
 

Myth: TMJ Disorders only affect the jaw!

a. The myth that TMJ disorders only affect the jaw ignores their broader impact on overall health

b. TMJ disorders can lead to symptoms such as headaches, neck pain, ear issues and even postural imbalances due to the interconnectedness of the jaw with other body systems. 

c. Therefore, addressing TMJ disorders is essential for comprehensive health management beyond just jaw-related symptoms.

© 2024 Migradent | All Rights Reserved.