Loading...
Loading...
Loading...

frontdesk@migradent.com

+91 95943 69752

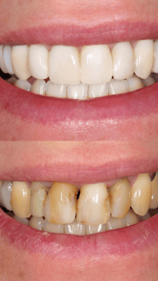
Smile Designing

Smile designing is a personalized approach to enhance the aesthetics of an individual's smile. It involves the use of various cosmetic dental procedures and techniques to improve the shape, size, color, alignment, and overall appearance of teeth, resulting in a more attractive and natural-looking smile.

Smile designing is important as it can boost an individual's self-confidence, improve facial harmony, and enhance overall aesthetics. A beautiful smile can positively impact personal and professional interactions, leading to improved self-esteem and a more positive self-image.

Smile designing involves a comprehensive evaluation of the patient's oral health, facial features, and personal preferences. Based on this assessment, a customized treatment plan is created, which may include procedures such as teeth whitening, veneers, orthodontics, or gum contouring, among others, to achieve the desired smile transformation.

Smile designing is suitable for individuals who wish to improve the aesthetics of their smile due to concerns such as tooth discoloration, misalignment, gaps, or other cosmetic imperfections. Considering smile designing is a personal decision, and a consultation with a dental professional can help determine the most appropriate treatment options for you.

Busted: Smile designing is not limited to celebrities. It is a treatment option available to anyone who desires an improved smile. Advancements in cosmetic dentistry have made smile designing accessible and customizable to suit individual preferences and requirements, allowing people from all walks of life to achieve a beautiful smile.

Busted: Smile designing procedures are typically minimally invasive and aim to preserve as much natural tooth structure as possible. The process focuses on enhancing aesthetics and can involve procedures such as teeth whitening, veneers, or orthodontics. Advanced techniques and technology ensure that the procedure is comfortable and delivers excellent results.

Dr. Sarrah Husain at MIGRADENT specializes in smile designing, offering tailored treatments for a personalized, natural-looking smile makeover. With advanced techniques, she creates customized smile designs that enhance patients' natural beauty and boost their self-confidence, ensuring a smile transformation that suits their individual preferences.

© 2024 Migradent | All Rights Reserved.